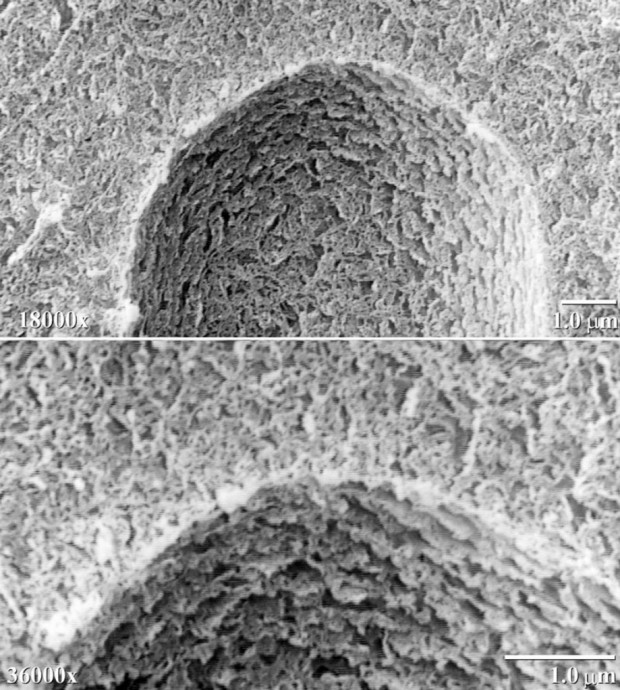
В США в центре микроисследований Beltsville Electron с помощью электронного микроскопа, ученые смогли показать миру как выглядит снежинка увеличенная в 36000 раз.
Электронный микроскоп способен дать увеличение в х100000.










В США в центре микроисследований Beltsville Electron с помощью электронного микроскопа, ученые смогли показать миру как выглядит снежинка увеличенная в 36000 раз.
Электронный микроскоп способен дать увеличение в х100000.









