Чтобы поверить в то, что ЭТО могло оказаться внутри живого человека, нужно увидеть их рентгеновские снимки собственными глазами. Предлагаем вашему вниманию самые странные в истории медицины рентгеновские снимки, от которых становится жутко и страшно, а иногда испытываешь удивление или даже настоящий шок.
1. Череп китайца, которому в голову выстрелили пневматическим молотком.
2. Живот пациента, который проглотил две вилки, шариковую ручку и зубную щетку.
3. Старинный рентгеновский снимок ступни солдата англо-бурской войны (1899-1902) с огнестрельным ранением. Пуля застряла в плюсневой кости между большим и вторым пальцами.
4. Гвоздь в костях указательного и среднего пальцев взрослого мужчины.
5. Цветной снимок предметов, которые проглотил пациент, и которые застряли в его кишечнике, включая ложку и лезвие.
6. Булавка в горле женщины.
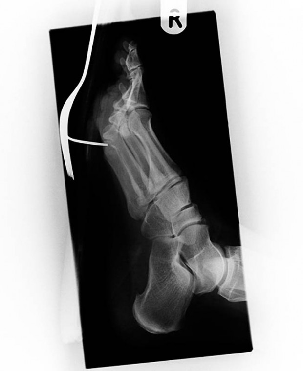
7. Рентген пациента, который наступил на вилку.
8. Цветной рентген желудка пациента, который проглотил бритву (по центру слева) и лезвия (вверху справа).
9. Разорванный палец пациента, который подрался с человеком, вооруженным ножом.
10. Еще один пациент, наступивший на вилку.
11. Копье от гарпуна, попавшее в голову 16-летнему мальчику на рыбалке.
12. Хирургические ножницы, случайно забытые в теле пациентки после операции. Ножницы были обнаружены лишь через 18 месяцев после операции, т.к. женщина жаловалась на постоянную боль в кишечнике.
13. Гвоздь в человеческом черепе – пациент случайно выстрелил в себя из пневматического молотка. Он даже не понял, что выстрелил в себя – 10-сантиметровый гвоздь обнаружили только через 6 дней.
14. Мобильник в кишечнике заключенного.
15. Нож в голове 10-летнего мальчика. Мальчик выжил.
16. Граната в черепе заключенного.
17. Вот такой вот 15-сантиметровый камень в почках весом 1,1 килограмм удалили пациенту из Венгрии.
18. 12-сантиметровый нож в черепе подростка.
19. Нож для резки масла в глазу пациента.
20. Бутылка из-под «Пепси» в анусе 60-летнего мужчины.
Источник